Update 05. Okt. ’17
Da glaubt man schon fast nicht mehr daran, und plötzlich passiert es doch: Jimmy, unser liebenswerter Bruchpilot, hatte ganz spontan Besuch, konnte überzeugen und hat nun ein neues Zuhause bei einem Kumpel gefunden. Vorsichtshalber mit gesichertem Freigang! ![]()
Wir freuen uns riesig für Jimmy und werden ihn vermissen. Haben wir doch wirklich eine lange und nervlich anstrengende Zeit mit dem süßen Schatz durchgemacht … ❤
Herzlichen Dank an die neue Familie und eine tolle Zeit zusammen! ❤ ❤ ❤
Update 21. Juli ’17
Unser kleiner Bruchpilot Jimmy hat lange nichts von sich hören lassen, deshalb heute endlich ein Update von ihm.
Nachdem der junge Mann Anfang Mai seinen Käfig unter Aufsicht verlassen durfte, konnten wir seinen Freigang nach und nach behutsam verlängern.
Bis zu dem Tag, als unsere Moni nebenan plötzlich ein Krachen und Schreien hörte, sofort zu Jimmy lief und ihn schmerzerfüllt kauernd unter der Fensterbank vorfand. Er konnte nicht mehr auftreten, denn sein operiertes Beinchen tat ihm furchtbar weh.
Sofort ging es in die Praxis zum Röntgen, und dabei kam heraus, dass zwar der operierte Bruch standgehalten hatte, er sich nun aber das Schienbein gebrochen hatte. Also wirklich ein absoluter Pechvogel. Für ihn hieß dies weitere sechs Wochen Käfig … ![]()
Wir litten die ganze Zeit über aber wohl mehr als Jimmy. Denn er fand den Käfig einfach Klasse! Vollpension, rund um die Uhr Service in Form von Essen, sauberer Wäsche, Kuscheleinheiten und netten Spielen.
Seiner guten Laune hat es jedenfalls nicht geschadet.
Nach diesen weiteren sechs Wochen und mit dem Wissen, dass der Bruch stabil ist, zog er dann samt Käfig in einen Gruppenraum um. So hatte er endlich Kontakt zu anderen Katzen und auch gute Ablenkung. Frei bewegen durfte er sich auch wieder mehrfach täglich, allerdings ausschließlich unter Aufsicht!
Und als seine Energie dann endlich abgebaut und er genügend ausgelastet war, durfte der Käfig weg und er sich endgültig völlig frei im Zimmer bewegen. Etwas geschwitzt haben wir trotzdem, doch der kleine Chaot hat wohl endlich gelernt und benimmt sich hervorragend.
Jimmy hat schnell Kontakt zu seinen Artgenossen geknüpft und ist ausgesprochen sozial. Am liebsten liegt er gemeinsam mit Kumpel Esra in einem Körbchen und kuschelt – wenn er nicht gerade Unsinn macht und das Zimmer umräumt … ![]()
Update 29. Mai ’17
Jimmy freut sich riesig – er darf endlich – nach vier (!) langen Wochen – aus seinem Käfig heraus! ![]()
Er war so aufgeregt und aufgedreht, es war eine richtige Freude, ihn zu beobachten. ♡ ♡ ♡
Update 12. Mai ’17
Neues vom unserem Jimmy …
Es geht täglich bergauf mit dem jungen Mann und man merkt ihm gar nicht an, was er schon alles durchgemacht hat. Er strotzt nur so vor Energie, Lebensmut und Anhänglichkeit. ![]()
„Nur“ noch ein paar Wochen Käfigknast, dann darf er sich endlich frei bewegen. Und ganz sicher wird er dann auch Bäume ausreißen … ![]()
Update 05. Mai ’17
Unser Jimmy hat ein ganz tolles, selbstgenähtes Bettchen geschenkt bekommen – Danke! ♡ ♡ ♡
Er hat sich wirklich unglaublich darüber gefreut – die Bilder sprechen für sich … ![]()
Update 02. Mai ’17
Jimmy geht es super. Allerdings auch schon wieder viel zu gut, so wie es bei ihm ja zu erahnen war … Statt sich zu schonen, baut er ständig seine Behausung um, spielt mit allem, was sich auch nur ansatzweise dazu eignet und hat wirklich nur Quatsch im Kopf. ![]()
Schmerzmittel braucht er gar nicht mehr, denn sonst würde er wahrscheinlich komplett aufdrehen und noch richtige Umbaumaßnahmen an seinem Käfig vornehmen, frei nach dem Motto „Mein Heim muss schöner werden“.
Und weil er so Langeweile hat, ist er heute samt Käfig in unseren gesunden Trakt umgezogen. So kann er gleich aus zwei Türen herausgucken, hat viel mehr Kuschelmenschen um sich und ist so von seiner Zwangspause etwas besser abgelenkt. Dazu „duftet“ sein ganzes Zimmer herlich nach Baldriankissen, so dass er derzeit auf Wolke 7 schwebt. ![]()
Er und wir müssen nun noch einige Wochen durchhalten, damit alles perfekt heilen kann. Ins Herz geschlossen hat ihn hier jedenfalls schon jeder. ♡ ♡ ♡
Noch ein Update 28. April ’17
Jimmy ist ganz aus dem Häuschen: Sein Spendenstand beträgt inzwischen sagenhafte 798 EUR – der absolute Wahnsinn! ![]()
Damit ist auch seine Behandlung nach der OP abgedeckt und wir können ihn nun noch mehr verwöhnen. ♡ ♡ ♡
Update 28. April ’17
Jimmy möchte sich heute Abend noch kurz melden. Nachdem er nun wieder bei klarem Verstand ist und seine Schmerzen dank Medikamenten deutlich erträglicher sind, hat er sich heute rundum verwöhnen lassen. ♡ ♡ ♡
Er bekommt sein Essen im Bett serviert, ist kuschelig eingepackt, bekommt hier und da ein Leckerchen zugesteckt sowie natürlich jede Menge Streicheleinheiten.
In 1 – 2 Tagen wird er sich schon wieder besser fühlen. Und dann liegt es wieder an uns, diesen kleinen Irwisch ruhig zu halten. Denn das war auch vor der OP schon ein Problem. Sobald er sich gut fühlt, möchte er Abenteuer erleben – und nicht langweilig herumliegen, um sich zu schonen. ![]()
Update 27. April ’17
Sie haben es geschafft! Jimmys OP-Rechnung beträgt 427,28 EUR, die Spendeneinnahmen liegen inzwischen schon bei 438 EUR! Wir können damit also die kompletten Operationskosten abdecken!
Im Namen von Jimmy bedanken wir uns ganz, ganz herzlich für diese wirklich tolle und großartige Unterstützung, Tausend Dank! ♡ ♡ ♡
Heute morgen wurde Jimmy lange operiert und konnte heute Nachmittag wieder abgeholt werden. Sein Bruch wurde mit zwei Stiften gerichtet und ist nun wieder stabil. Er wird sehr wahrscheinlich später keinerlei Einschränkungen haben. ![]()
Wir bedanken uns auch bei Jimmys Arzt Dr. Liedtke aus der Tierärztlichen Gemeinschaftspraxis Dres. Liedtke / Kolberg in Korbach für die schnelle Hilfe und das super Ergebnis. ♡ ♡ ♡
In sechs Wochen steht eine Röntgenkontrolle zur Nachuntersuchung an. Dabei wird sich dann auch entscheiden, ob beide Stifte drin bleiben, oder ob einer entfernt werden muss.
Jetzt ist Jimmy natürlich erst einmal unheimlich müde und mitgenommen von der OP, aber in wenigen Tagen wird es ihm deutlich besser gehen. Für heute ist er warm eingepackt und schläft sich nun gründlich aus.
Und wir sind alle wirklich überglücklich und freuen uns, dass Jimmy erst einmal alles gut überstanden hat. ♡ ♡ ♡
Update 25. April ’17
Ganz vielen lieben Dank, Ihre Unterstützung für Jimmy ist einfach Wahnsinn!
Bisher sind bereits 343,- EUR für ihn zusammengekommen! ♡ ♡ ♡
24. April ’17
Kater Jimmy – eine wirklich verworrene Geschichte und Rettung für sein Leben.
Am 21. April ’17 abends gegen 21:00 Uhr meldete sich eine langjährige Tierfeundin bei uns.
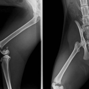
Es ging um einen jungen, angeblich aggressiven Kater, der einen schlimmen Unfall hatte, durch eine weitere Tierfreundin in eine Tierklinik kam und dem nun, aufgrund der Diagnose und der zu erwartenden Kosten, entweder ein Bein amputiert oder er gleich eingeschläfert werden sollte. ![]()
Doch nun mal langsam …
Gefunden wurde Kater Jimmy schwer verletzt neben seinem toten Kumpel. Schon sehr ungewöhnlich, dass zwei Tiere auf einmal einem Autounfall zum Opfer fallen … Zwischenzeitlich sollten sich dann auch die Besitzer gefunden haben, die damit aber nichts zu tun haben wollten und es ihnen egal war, was nun aus dem verletzten Katerchen würde.
Die Wahrheit werden wir wohl nie erfahren.
Jimmys Röntgenbild zeigte einen komplizierten Bruch im Knie. Die Tierklinik kastrierte ihn und empfahl, dass Bein zu amputieren, da die Kosten für eine OP zur Rettung des Beins sehr hoch sein würden.
Das zuständige Tierheim, das den Kater aufnehmen sollte, war dagegen. Sie wollten den Kater einschläfern lassen, denn laut ihnen hätte das Tier mit drei Beinen sowieso keine Vermittlungschance.
Hohe Kosten, dreibeinig, tot … Was denn nun? Aber es wurde noch verwirrender:
Nun landete Jimmy irgendwie bei einer Tierärztin, die ihn von Freitag auf Samstag in der Praxis behielt. Angeblich wollte sie am Samstag dann sein Bein amputieren oder ihn einschläfern, wenn sich kein Platz finden würde.
Jetzt reichte es den Tierfreunden endgültig, und nachdem sie unsere Zusage hatten, dass wir ihn aufnehmen, lief die Zeit, denn die Tierärztin war nicht erreichbar.
Am frühen Samstag Nachmittag klappte es dann doch und sie konnten Jimmy endlich abholen und zu uns bringen.
Schnell stellte sich heraus, dass Jimmy keineswegs aggressiv war, sondern einfach nur sehr unsicher und ansonsten überaus verschmust. Natürlich ist kein Tier glücklich, wenn es so schwer verletzt und von Schmerzen gepeinigt ist und obendrein noch dauernd von einem Ort zum anderen geschafft wird …
Aus Erfahrung konnten wir anhand der Röntgenbilder und des Zustands des Beines den Tierfreunden schnell die Angst vor einer Amputation nehmen, denn Jimmy hat mit einer OP sehr gute Chancen, wieder gesund zu werden! ![]()
Am kommenden Donnerstag wird er nun operiert. Die OP wird natürlich Einiges kosten. Das ist uns dieser kleine Schatz aber wert, denn wenn sich schon sonst keiner für ihn zuständig fühlt und sogar eine Euthanasie im Raum stand, weil es billiger gewesen wäre, dann hat er es erst recht verdient! ♡ ♡ ♡
Jimmy und wir hoffen nun, dass wir liebe Tierfreunde finden, die ihn bei seinen OP-Kosten unterstützen. Wir werden am Donnerstag eine genaue Aufstellung über die Kosten machen, denn uns ging es heute in erster Linie darum, schnell einen OP-Termin zu bekommen.
































